Skip to content
Homepage
Products
Product Overview
Bracket Portfolio
KLOwen Software
About KLOwen
About Us
FAQs
Resources
Events
News & Blogs
White Paper
Doctor Portal
Book a Demo
Products
Product Overview
Bracket Portfolio
KLOwen Software
About KLOwen
About Us
FAQs
Resources
Events
News & Blogs
White Paper
Doctor Portal
Book a Demo
Custom Case Studies
The latest updates, ideas and success stories from the KLOwen team.
All industries
Orthodontics
Orthodontics
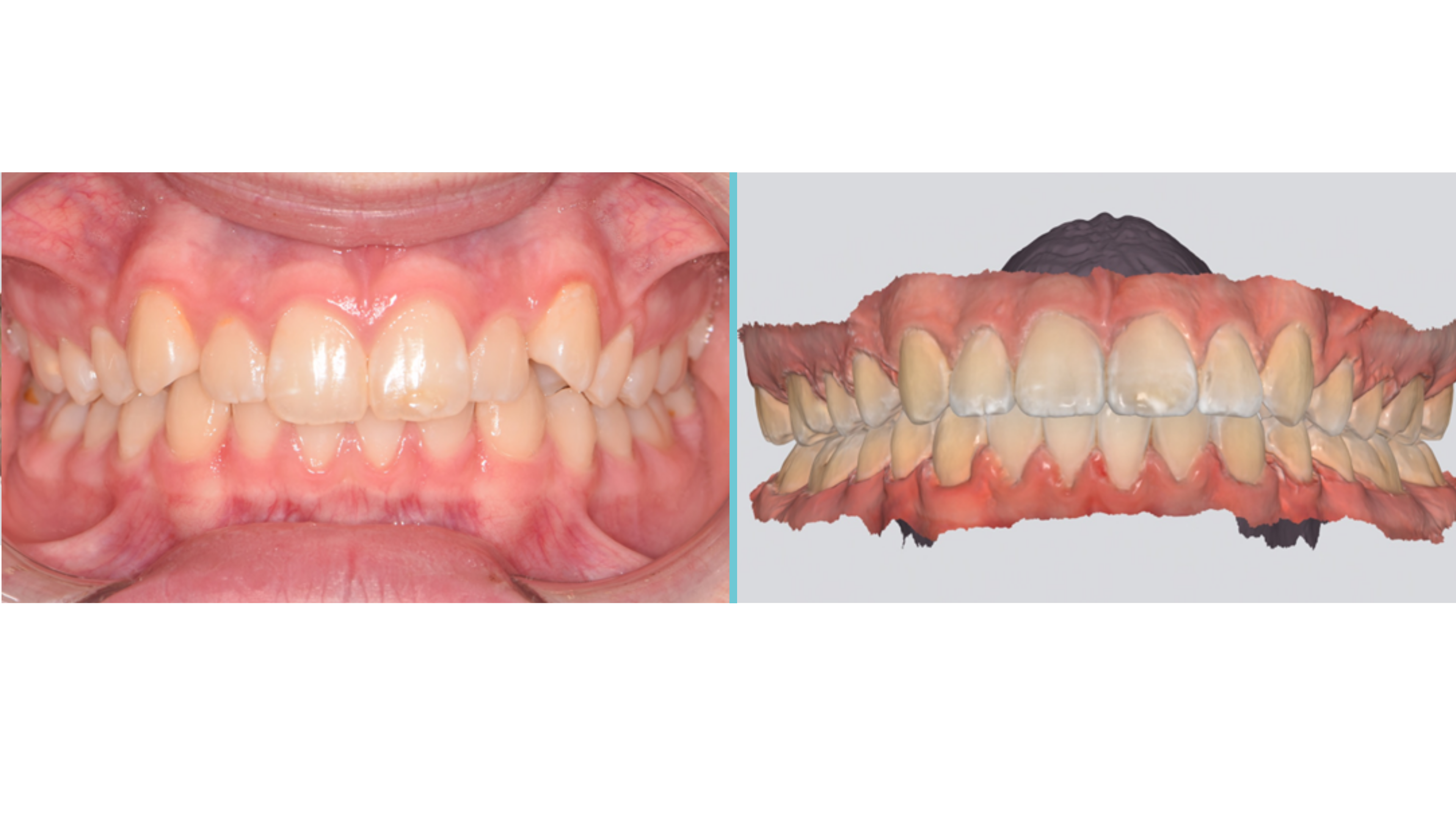
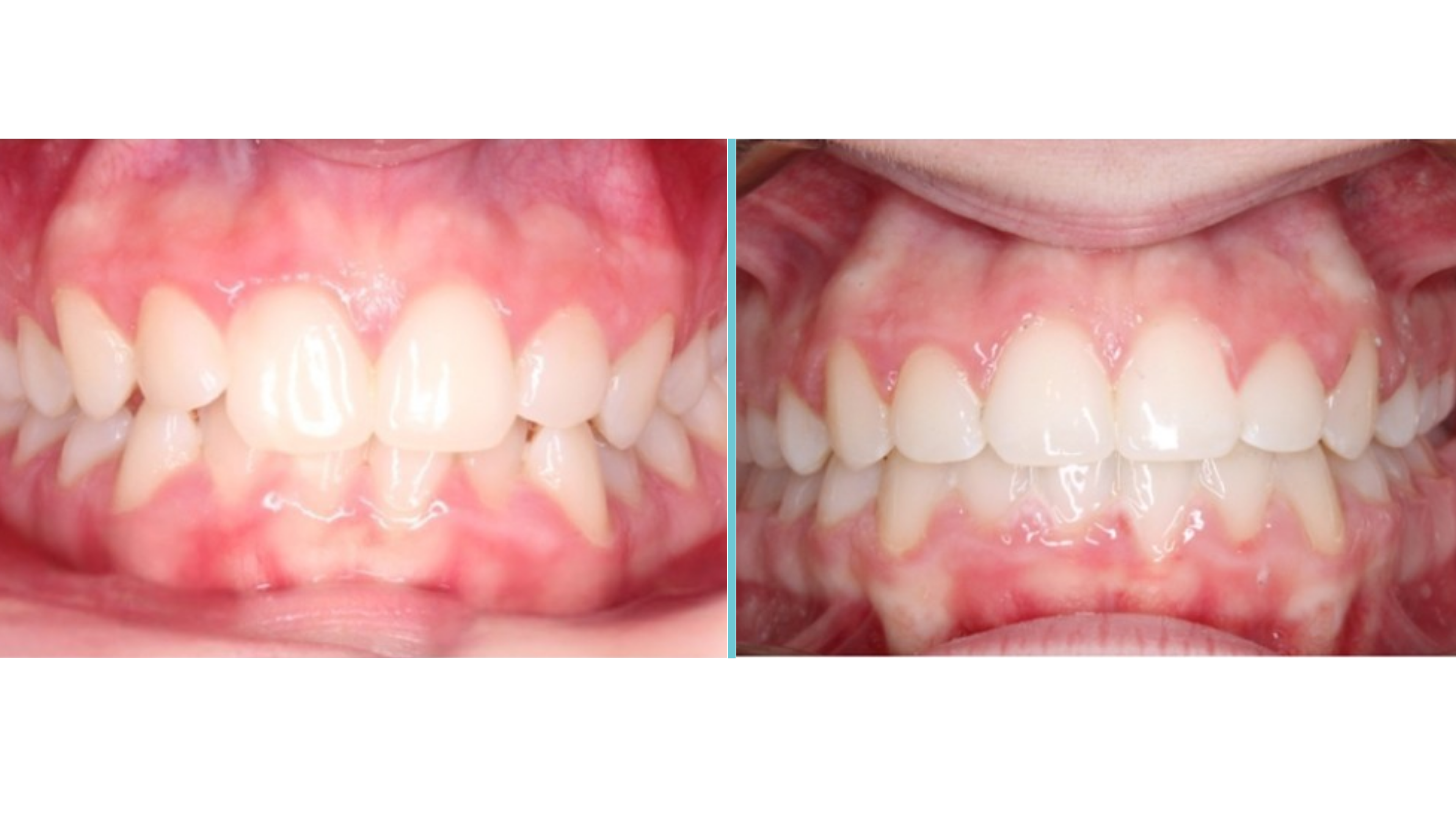
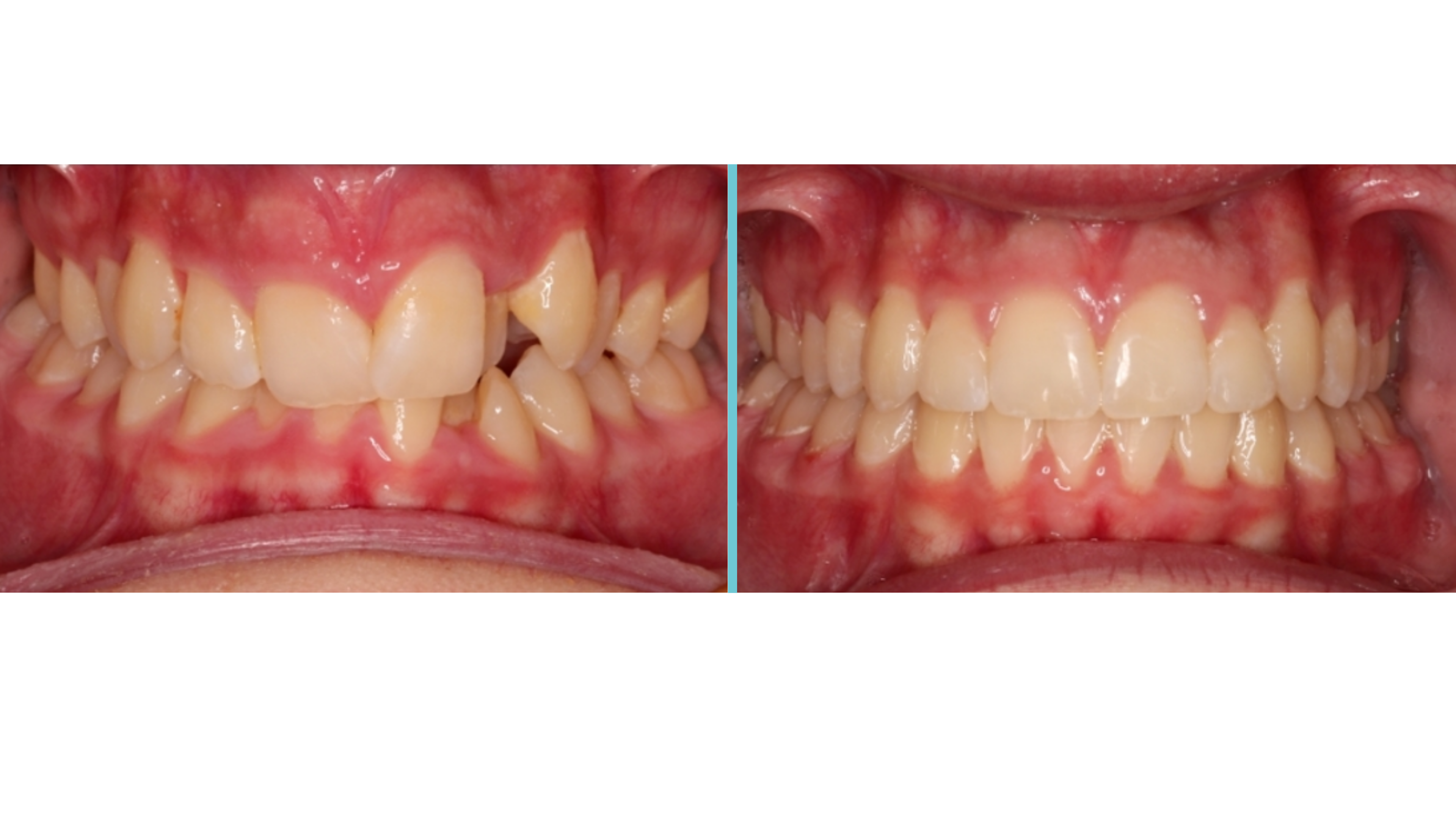
Custom Metal SL Case Study - Dr. Paul Trotter
Orthodontics
Custom Metal SL Case Study - Dr. Jared Gianquinto
Orthodontics
Custom Metal Twin Case Study - Dr. Kristen Knecht
Orthodontics
Custom Metal Twin Case Study - Dr. Brandon Owen
Orthodontics
Custom Metal SL Case Study - Dr. Brandon Owen
Orthodontics
Custom Metal Twin Case Study - Dr. Paul Trotter
Orthodontics
Custom Metal SL Case Study - Dr. Jared Gianquinto
Orthodontics
Custom Metal SL Case Study - Dr. Jared Gianquinto
Orthodontics
Custom Metal Twin Case Study - Dr. Kristen Knecht
Orthodontics
Custom Metal SL Case Study - Dr. Paul Trotter
1
2