Custom Metal Twin Case Study - Dr. Kristen Knecht
Industry
Orthodontics
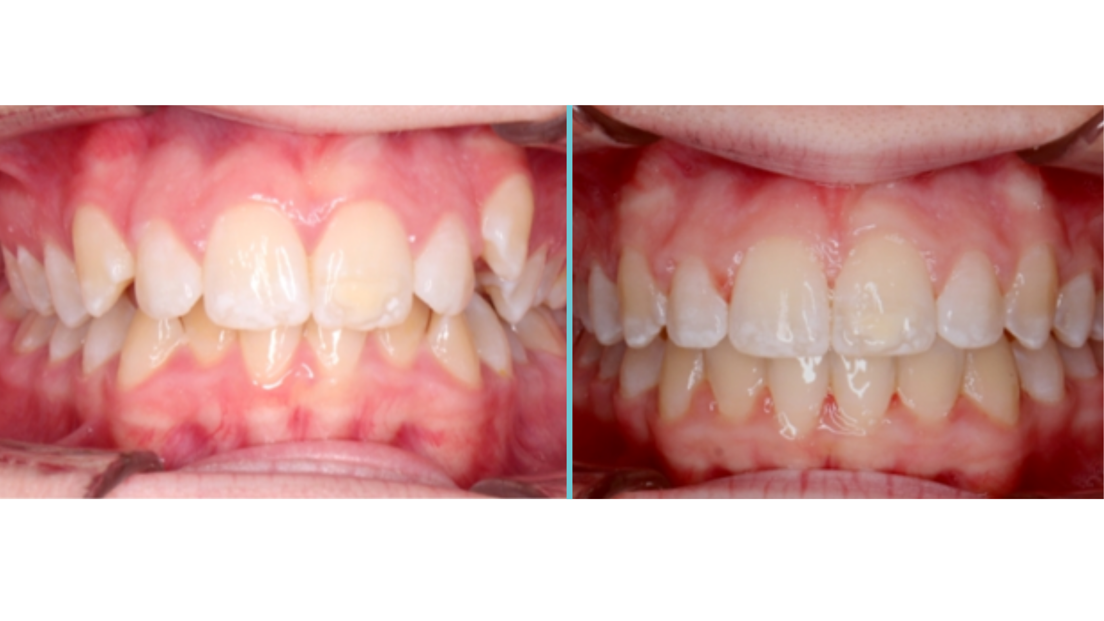
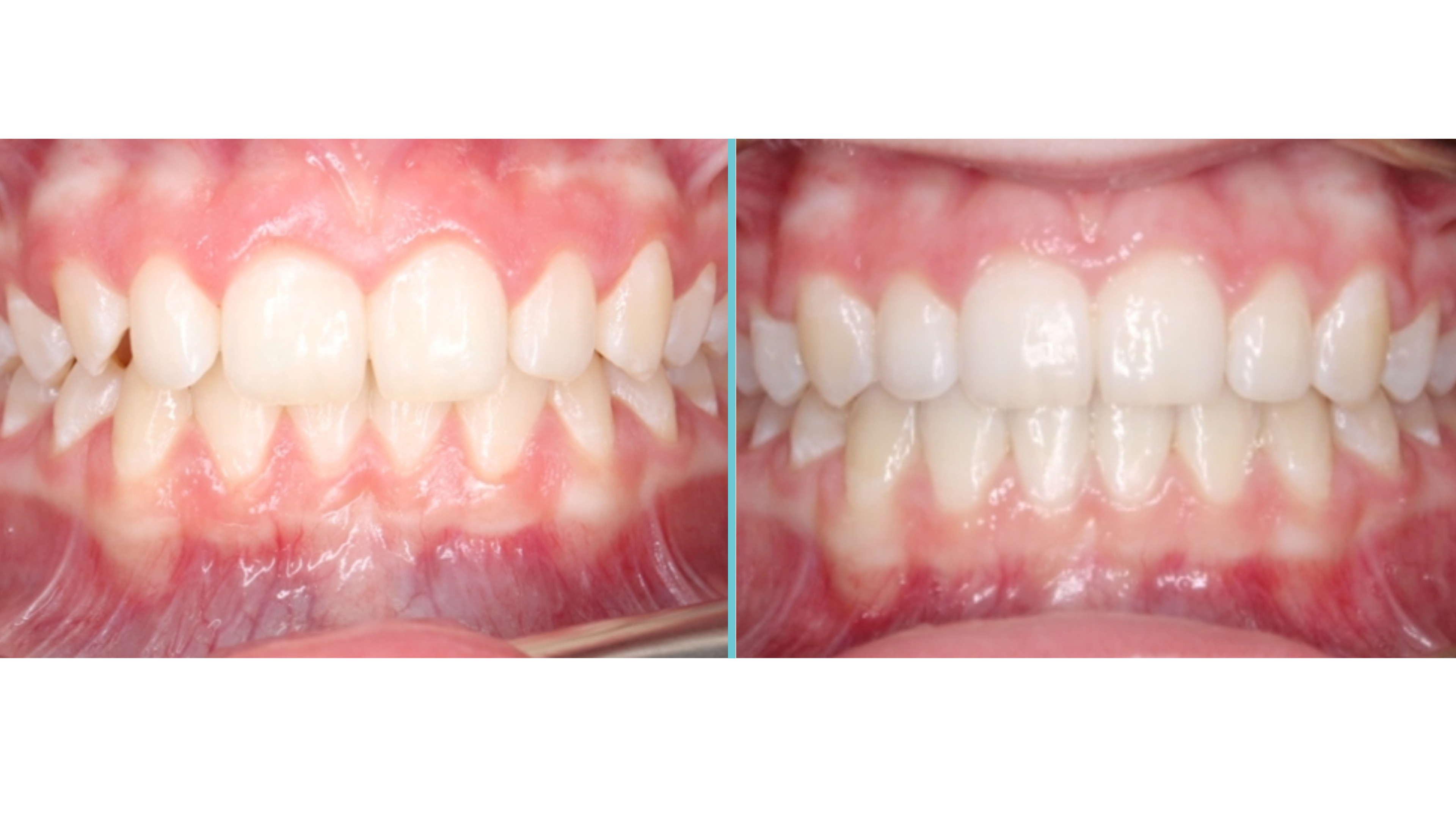
Diagnosis
Mild class II, mild crowding, deep bite
Treatment Time
14 Months
Bracket Type
Custom Metal Twin
-31%
Treatment Time*
-41%
Appointments*
-84%
Dr. Intensive Time*
“With conventional, I had to check and position every bracket. Now, with the KLOwen Custom Solution, it’s so much easier and more predictable. I have more free time available on bonding days than I ever have before.”
Dr. Kristen Knecht
Orthodontist, Knecht Orthodontics
The Results
Treatment was completed using KLOwen Custom Metal Twin Brackets to efficiently align the dentition and achieve a functional Class I occlusion. The case advanced smoothly with minimal complications, illustrating how custom brackets can enhance treatment efficiency and predictability in reduced time compared to traditional brackets.

*Numbers reflect an average comparison of 25 conventional cases and 25 custom cases.

.png?width=768&height=881&name=Knecht%20Case%20Study%202%20Patient%20Info%20(1).png)