Custom Metal SL Case Study - Dr. Eric Strouse
Industry
Orthodontics
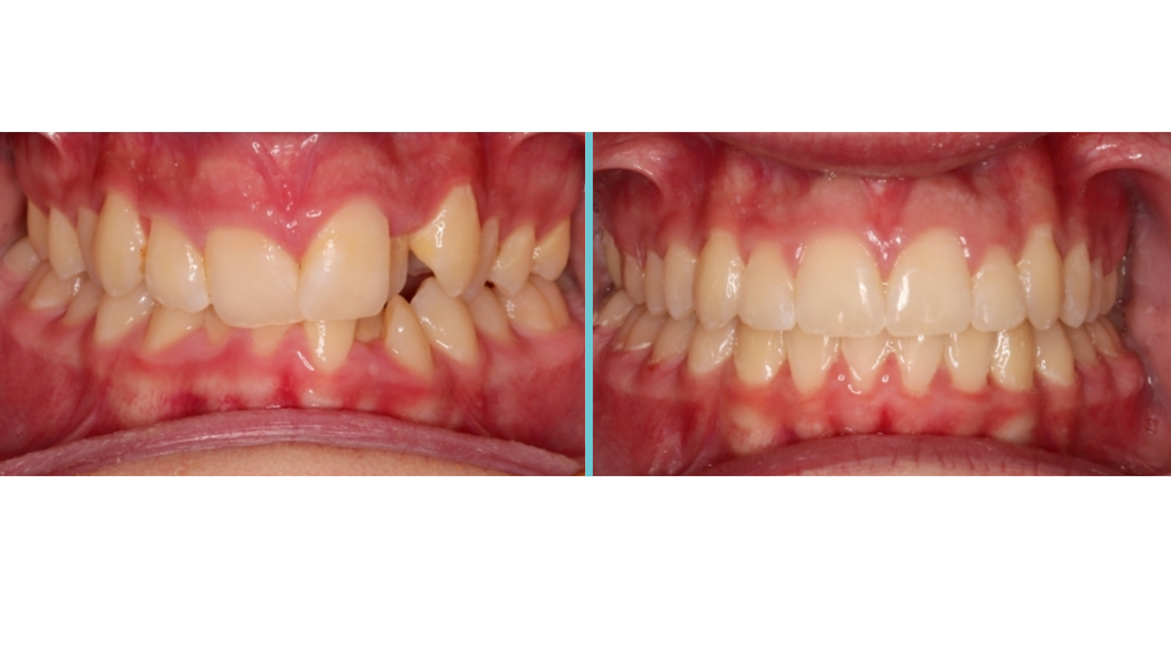
Diagnosis
Class I Crowding, Deep Bite
Treatment Time
17 Months
Bracket Type
Custom Metal Self-Ligating
-23%
Treatment Time*
-39%
Appointments*
-72%
Dr. Intensive Time*
"I have the statistics that show me factually this system is really making a difference in my practice."
Dr. Eric Strouse
Orthodontist, Strouse Orthodontics
The Results
Treatment was completed using KLOwen Custom Metal SL Brackets to efficiently align the dentition and achieve a functional Class I occlusion. The case advanced smoothly with minimal complications, illustrating how custom brackets can enhance treatment efficiency and predictability.

*Numbers reflect an average comparison of 25 conventional cases and 25 custom cases.

