Custom Metal SL Case Study - Dr. Jared Gianquinto
Industry
Orthodontics
Diagnosis
Class 1 crowding, ectopic canines
Treatment Time
12 Months
Bracket Type
Custom Metal Self-Ligating
-37%
Treatment Time*
-50%
Appointments*
-75%
Dr. Intensive Time*
“The KLOwen Custom Solution has all the advantages of conventional SL with the benefits of unparalleled control and efficiency from a custom prescription.”
Dr. Jared Gianquinto
Orthodontist, Ortho Arts
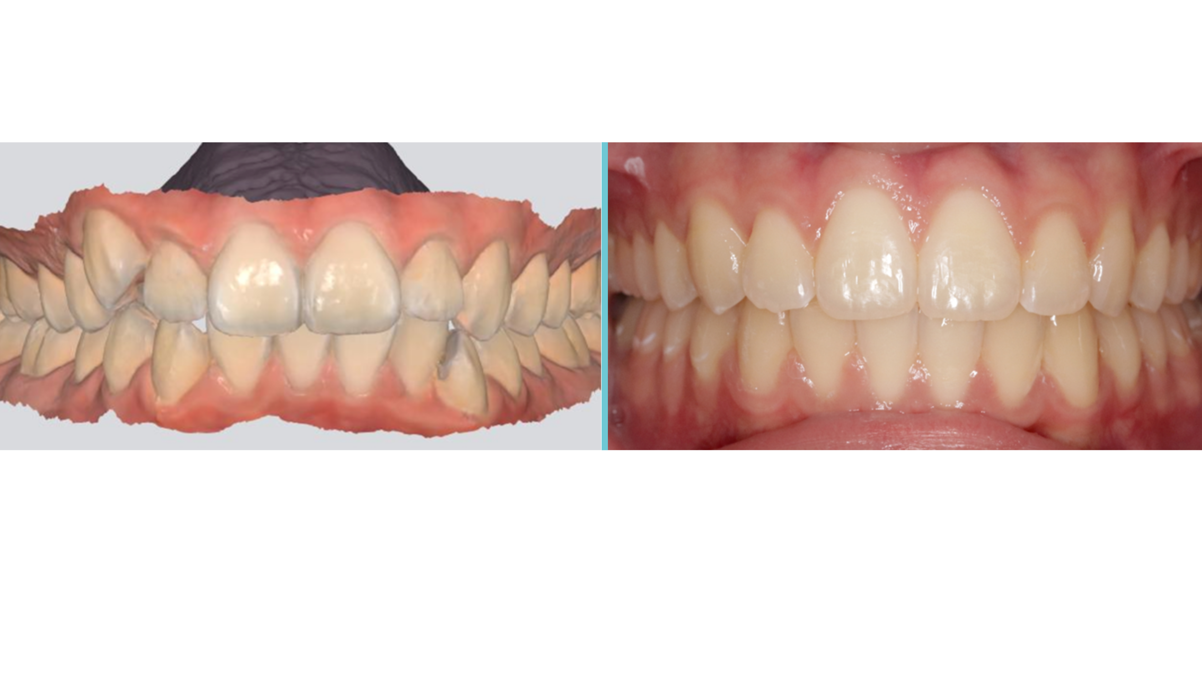
The Results
Treatment was completed using KLOwen Custom SL Brackets to efficiently align the dentition. The case advanced smoothly with minimal complications and no broken brackets illustrating how custom brackets can enhance treatment efficiency and predictability in reduced time compared to traditional brackets.


*Numbers reflect an average comparison of 25 conventional cases and 25 custom cases.

.png?width=768&height=881&name=Gianquinto%20MSL%20Case%20Study%201%20(1).png)