KLOwen Metal SL Case Study - Dr. Jared Gianquinto
Industry
Orthodontics
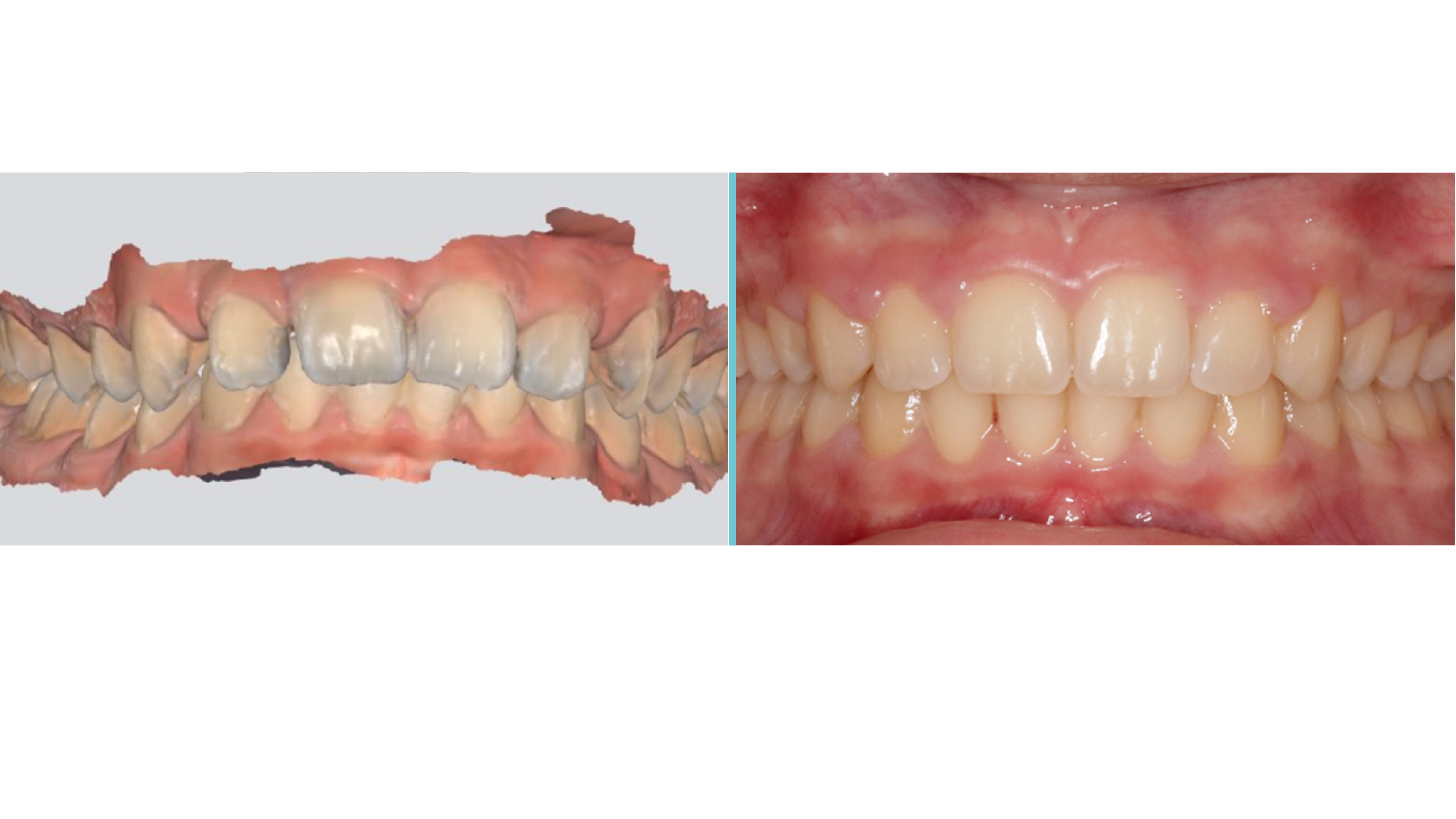
Diagnosis
Class 1 crowding, deep bite, occlusal cant (inferior on R), root dilaceration UR2
Treatment Time
20 Months
Bracket Type
Custom Metal Self-Ligating
-26%
Treatment Time*
-41%
Appointments*
-61%
Dr. Intensive Time*
“The KLOwen Custom Solution has all the advantages of conventional SL with the benefits of unparalleled control and efficiency from a custom prescription.”
Dr. Jared Gianquinto
Orthodontist, Ortho Arts
The Results
Treatment was completed using KLOwen Custom SL Brackets to efficiently align the dentition. The case advanced smoothly with minimal complications illustrating how custom brackets can enhance treatment efficiency and predictability in reduced time compared to traditional brackets.


*Numbers reflect an average comparison of this custom case compared vs. the same case as a conventional case.

.png?width=768&height=881&name=Gianquinto%20MSL%20Case%20Study%201%20(1).png)