Custom Metal Twin Case Study - Dr. Paul Trotter
Industry
Orthodontics
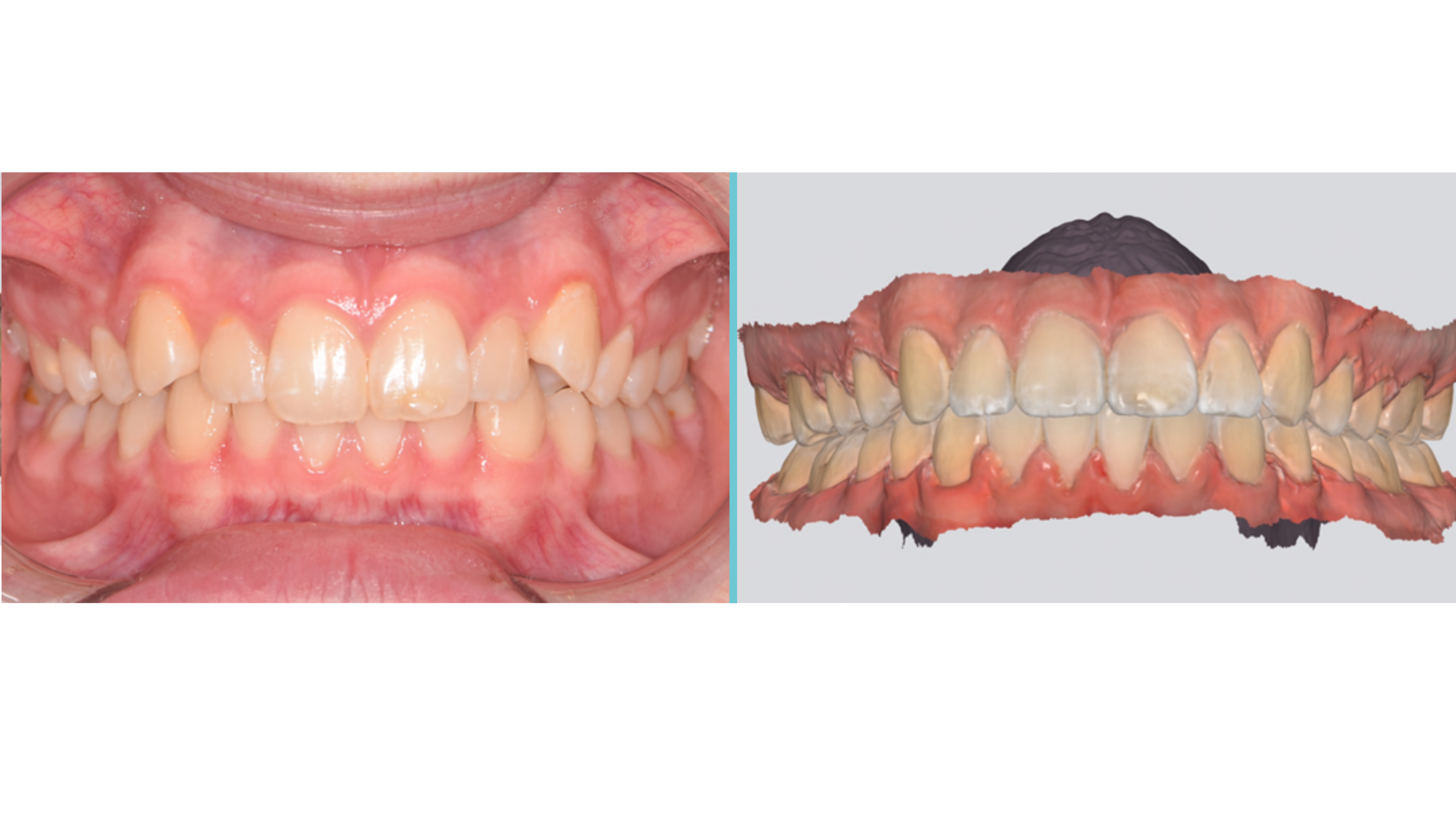
Diagnosis
Class II Div. 2, moderate maxillary crowding, mild mandibular crowding
Treatment Time
17 Months
Bracket Type
Custom Metal Twin
-24%
Treatment Time*
-39%
Appointments*
-47%
Dr. Intensive Time*
"This isn’t just custom done right. This is digital indirect bonding done right. This is everything that brackets and wires should be. It is absolutely worth fully immersing yourself into it."
Dr. Paul Trotter
Orthodontist, Trotter Orthodontics
The Results
Treatment was completed using KLOwen Custom Metal Twin Brackets to efficiently align the dentition and achieve a functional Class I occlusion. The case advanced smoothly with minimal complications, illustrating how custom brackets can enhance treatment efficiency and predictability.

*Numbers reflect an average comparison of 25 conventional cases and 25 custom cases.

